Coronaria diagnostiikan välineistöä lähikuvassa.

Laboratorio- ja tutkimuspalvelut

​Coronaria Diagnostiikan patologian laboratorio Oulussa tuottaa vuosikymmenien kokemuksella korkeatasoisia laboratorio- ja tutkimuspalveluita.

Patologian alan näytetutkimuspalvelu sisältää asiakkaan näytteiden käsittelyn tutkimusvalmiiksi näytelaseiksi ja näytteen tutkimisen jälkeen asiantuntevien patologian erikoislääkärien antaman diagnoosin. Solunäytteille kokeneet bioanalyytikkomme tekevät esitarkastuksen. ​

Korkean laadun lisäksi näytetutkimusten nopea valmistuminen edesauttaa asiakkaidemme potilaiden hoidon oikea aikaista aloittamista.


Lähikuva naislääkärin käsistä käyttämässä kannettavaa tietokonetta.

Näytetutkimuspalvelu

Oikeaan hoitoon tarvitaan oikea diagnoosi - näin laboratoriomme palvelee:

  • Näytteenottotarvikkeet voi tilata helposti sivuiltamme tilauslomakkeella.
  • Käsittelemme asiakkaan kudos- ja solunäytteet tutkimusvalmiiksi näytelaseiksi.
  • Kokeneet bioanalyytikkomme tekevät solunäytteille esitarkastuksen.
  • Asiantuntevat patologian erikoislääkärimme tutkivat näytteet ja antavat lausunnot ja diagnoosit.
  • Tutkimusvastaukset toimitamme tietoturvallisesti asiakkaan kanssa sovitulla tavalla paperimuodossa tai sähköisesti.

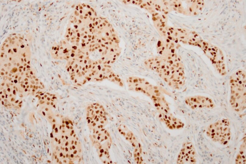
Solukuva nrf2, jossa immunohistokemiallinen värjäys.

Monipuolista erikoisosaamista

  • Patologian erikoislääkäriemme osaaminen kattaa laajasti patologian erityisosaamisalueita.
  • Näytteet ohjataan kyseisen näytetyypin erityisosaajalle.
  • Haastavien näytteiden tulkinnassa on apuna yrityksemme sisäinen konsultaatioverkosto.
  • Laboratoriossamme voimme tehdä myös immunohistokemiallisia tutkimuksia, joita käytetään diagnoosin varmentamiseen sekä kasvainten ennusteen ja hoitovaihtoehtojen selvittämiseen.

Coronaria diagnostiikan välineistöä lähikuvassa.

Laboratoriopalvelut

  • Asiakkaillamme on myös mahdollisuus käyttää laboratoriotamme oman patologian laboratorionsa näytteiden valmistuskapasiteetin laajentamiseen.
  • Laboratoriopalvelumme sisältää asiakkaan kudos- ja solunäytteiden käsittelyn tutkimusvalmiiksi näytelaseiksi sekä niiden toimituksen asiakkaalle.
  • Tarvittaessa voimme myös esitarkastaa solunäytteet valmiiksi.